ไม่ใช่แค่ “ตรวจอะไรดีที่สุด” แต่คือ “ตรวจอะไรที่เหมาะกับคุณที่สุด”
ในฐานะแพทย์เฉพาะทางด้านภาพวินิจฉัยหัวใจ (Advanced Imaging Cardiologist) สิ่งที่ผมพบบ่อยที่สุดไม่ใช่คำถามเรื่องยาหรือการผ่าตัด แต่เป็นคำถามที่ว่า “คุณหมอครับ/คะ ตรวจหัวใจแบบไหนดีที่สุด? เห็นเขาว่า MRI ละเอียดกว่า CT ใช่ไหม?”
คำตอบสั้นๆ คือ “ไม่เสมอไปครับ”
โรคหัวใจมีความซับซ้อน คนไข้บางคนเจ็บหน้าอกเหมือนมีอะไรทับ แต่บางคนไม่มีอาการเลย คนไข้บางคนเส้นเลือดตีบแต่กล้ามเนื้อหัวใจยังดี ในขณะที่บางคนเส้นเลือดปกติแต่จริงๆแล้วเป็นกล้ามเนื้อหัวใจอักเสบ
ดังนั้น โจทย์ที่ถูกต้องทางการแพทย์จึงไม่ใช่การหาเครื่องมือที่แพงที่สุด แต่คือการเลือกเครื่องมือที่ “ตอบโจทย์โรคของคุณ” เพื่อให้แพทย์วางแผนการรักษาได้แม่นยำที่สุด วันนี้ผมจะพาไปเจาะลึกความแตกต่างระหว่าง CT หัวใจ และ MRI หัวใจ ในฉบับที่เข้าใจง่ายและใช้งานได้จริงครับ
เข้าใจหลักการง่ายๆ: “ท่อประปา” กับ “ตัวปั๊มน้ำ”
เพื่อให้เห็นภาพชัดเจนที่สุด ผมมักเปรียบเทียบหัวใจเหมือนระบบปั๊มน้ำครับ
- CT Scan:เก่งเรื่องดู “ท่อ” (หลอดเลือดหัวใจ) ว่ามีตะกรัน หรือหินปูนไปอุดตันไหม
- MRI:เก่งเรื่องดู “ตัวปั๊ม” (กล้ามเนื้อหัวใจ) ว่าแรงบีบดีไหม มอเตอร์ไหม้ (อักเสบ) หรือมีสนิมเกาะ (พังผืด) หรือไม่


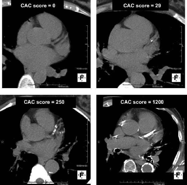
CT Scan หัวใจ: นักสืบหา “จุดตีบ”
CT Coronary Angiography (CTCA) คือการเอกซเรย์คอมพิวเตอร์ร่วมกับการฉีดสี
- จุดเด่นที่สุด:คือการเห็น “กายวิภาค” ของเส้นเลือดหัวใจได้คมชัดมาก เป็นวิธี Non-invasive (ไม่เจ็บตัว) ที่ดีที่สุดในการบอกว่า “คุณมีเส้นเลือดหัวใจตีบหรือไม่”
- สามารถประเมินแคลเซียมในเส้นเลือดหัวใจ (Calcium score) เพื่อคัดกรองความเสี่ยงได้ (ไม่ต้องฉีดสี)
- เหมาะสำหรับ:การคัดกรอง หรือผู้ที่มีอาการเจ็บหน้าอกแต่ความเสี่ยงระดับต่ำถึงปานกลาง
- ข้อจำกัด:CT ใช้รังสี (แม้ปริมาณไม่มากแต่ก็มี) และ CT บอกไม่ได้ว่ากล้ามเนื้อหัวใจตรงนั้น “ตาย” หรือยัง หรือ “ทำงานไหวไหม” บอกได้แค่ว่าท่อตีบหรือไม่


MRI หัวใจ (Cardiac MRI): เจาะลึกถึงระดับเซลล์
MRI ใช้สนามแม่เหล็กและคลื่นวิทยุ (ไม่มีรังสี 100%) ในการสร้างภาพ นี่คือเครื่องมือที่ Advanced Cardiologist ยกให้เป็น บรรทัดฐาน หรือ Gold Standard ในการประเมินเนื้อเยื่อหัวใจครับ
MRI ทำอะไรได้บ้างที่เครื่องอื่นทำไม่ได้?
- Tissue Characterization (บอกสภาพเนื้อเยื่อ):นี่คือจุดแข็งที่สุด MRI สามารถแยกได้เลยว่า กล้ามเนื้อหัวใจของคุณหนาเพราะความดันโลหิตสูง, เพราะโรคพันธุกรรม, หรือเพราะมีพังผืด (Scar) จากการขาดเลือดในอดีต
- Function Assessment (การบีบตัว):วัดค่าการทำงานของหัวใจ (EF) ได้แม่นยำที่สุด
- Stress Perfusion (ดูการไหลเวียนเลือด):แทนที่จะดูแค่ท่อตีบ (เหมือน CT) MRI สามารถจำลองสภาวะหัวใจทำงานหนักเพื่อดูว่า “เลือดไหลไปเลี้ยงกล้ามเนื้อพอหรือไม่”
ทำไมต้อง 3 Tesla MRI (3T MRI) ?
ที่ โรงพยาบาลเกษมราษฎร์ อินเตอร์เนชั่นแนล รัตนาธิเบศร์ เราเลือกใช้เครื่อง 3 Tesla MRI ซึ่งเป็นเทคโนโลยีระดับสูง
- ความคมชัด (Resolution):ชัดกว่าเครื่อง MRI ทั่วไป (5 Tesla) เหมือนคุณดูทีวี 4K เทียบกับทีวีรุ่นเก่า
- ความแม่นยำ:ช่วยให้แพทย์เห็นรอยโรคเล็กๆ หรือแผลเป็นในหัวใจ (Micro-infarction) ที่เครื่องรุ่นเก่าอาจมองไม่เห็น
- ความเร็ว:ลดเวลาในการตรวจ ทำให้คนไข้ไม่ต้องกลั้นหายใจนานๆ
หัวข้อการตรวจ |
CT หัวใจ (เน้นดูท่อ) |
MRI หัวใจ (3T) (เน้นดูเนื้อ) |
| รังสี (Radiation) |
มี (ปริมาณควบคุม) |
⭐⭐⭐ไม่มีเลย (ปลอดภัยสูง) |
| ดูเส้นเลือดหัวใจตีบ |
⭐⭐⭐ ดีที่สุด |
⭐ (ดูได้คร่าวๆ) |
| ดูหินปูนเกาะเส้นเลือด |
⭐⭐⭐ ทำได้ |
❌ ทำไม่ได้ |
| ดูการขาดเลือด (Ischemia) |
⭐⭐ |
⭐⭐⭐ ดีที่สุด (Perfusion) |
| ดูแผลเป็น/พังผืด/การอักเสบ |
❌ ไม่เห็น |
⭐⭐⭐ ชัดเจนที่สุด |
| การทำงานหัวใจ (EF) |
⭐⭐⭐ |
⭐⭐⭐⭐⭐ แม่นยำที่สุด |
สรุปแนวทางการแพทย์ (Guideline): คุณควรตรวจแบบไหน?
อ้างอิงจากแนวทางสากลของสมาคมโรคหัวใจยุโรปและอเมริกา (ESC/ACC Guidelines):
เลือก CT หัวใจ เมื่อ…
- คุณเริ่มมีอาการเจ็บหน้าอก หรือเหนื่อยง่าย และแพทย์ประเมินแล้วว่ามีความเสี่ยงในการเกิดโรคเส้นเลือดหัวใจตีบในระดับ ต่ำ-ปานกลาง
- ต้องการรู้ว่า “มีความเสี่ยงเส้นเลือดตีบไหม”
- ต้องการตรวจ Calcium Score เพื่อประเมินความเสี่ยงล่วงหน้า
เลือก MRI หัวใจ (3T) เมื่อ…
- คุณเริ่มมีอาการเจ็บหน้าอก หรือเหนื่อยง่าย และแพทย์ประเมินแล้วว่ามีความเสี่ยงในการเกิดโรคเส้นเลือดหัวใจตีบในระดับ ปานกลาง – สูง
- เคยทำบอลลูนมาแล้ว:และเริ่มมีอาการเหนื่อยอีกครั้ง (MRI ดูรอยโรคซ้ำได้ดีกว่าเพราะไม่มีเงารบกวนจากขดลวด)
- หัวใจล้มเหลว หรือ หัวใจโต:ต้องการหาสาเหตุว่าเกิดจากอะไรกันแน่ (กล้ามเนื้อหัวใจอักเสบ, โรคพันธุกรรม, หรือเส้นเลือดตีบ)
- ต้องการความมั่นใจเรื่อง “กล้ามเนื้อตาย”:เพื่อตัดสินใจว่าจะทำบอลลูนหรือบายพาสดีหรือไม่ (ถ้ากล้ามเนื้อตายเป็นแผลเป็นไปแล้ว การทำบอลลูนอาจไม่ช่วย)
บทสรุปจากใจแพทย์
การตรวจหัวใจไม่ใช่เรื่องของการ “เผื่อเลือก” แต่เป็นเรื่องของ “ความแม่นยำ” ที่ โรงพยาบาลเกษมราษฎร์ อินเตอร์เนชั่นแนล รัตนาธิเบศร์ เรามีความพร้อมทั้งเครื่องมือ 3T MRI ที่ทันสมัย และทีมแพทย์เฉพาะทางด้านภาพวินิจฉัยหัวใจ (Advanced Imaging Cardiologist) ที่พร้อมแปลผลอย่างละเอียด ไม่ใช่แค่อ่านค่าจากคอมพิวเตอร์ แต่เราวิเคราะห์เพื่อการรักษาที่ตรงจุดสำหรับคุณ
“เพราะหัวใจมีดวงเดียว การดูแลที่ดีที่สุด คือการรู้ให้ลึกและรู้ให้จริงครับ”
แพ็กเกจแนะนำ
บทความสุขภาพอื่นๆ
VDO ความรู้สุขภาพ
บทความโดย

นายแพทย์ธีรวัต ก่อเกิดทรัพย์
แพทย์เฉพาะทางสาขาอายุรกรรม-การตรวจหัวใจด้วยคลื่นแม่เหล็กไฟฟ้า โรงพยาบาลเกษมราษฎร์ อินเตอร์เนชั่นแนล รัตนาธิเบศร์
ติดต่อสอบถามเพิ่มเติม/นัดหมาย
แผนกอายุรกรรมโรคหัวใจ ชั้น 2
โรงพยาบาลเกษมราษฎร์ อินเตอร์เนชั่นแนล รัตนาธิเบศร์
โทร. 02-594-0020 ต่อ 1248


